Naša práca
Ošetrenie kazov na predných zuboch
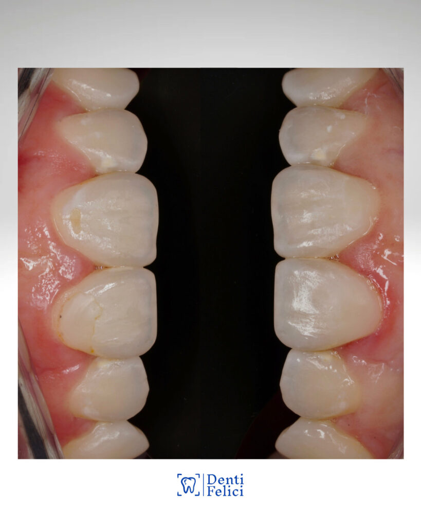
Výmena starých výplní na predných horných zuboch
Premena úsmevu zirkónovými mostíkmi a korunkami
Výmena opotrebovanej amalgámovej výplne za bielu a estetickú výplň
Výmena opotrebovanej amalgámovej výplne za bielu a estetickú výplň
Ošetrenie kazu
Výmena opotrebovanej bielej výplne